松山市のインプラント・矯正ならおひさま歯科クリニックへ

症例一覧

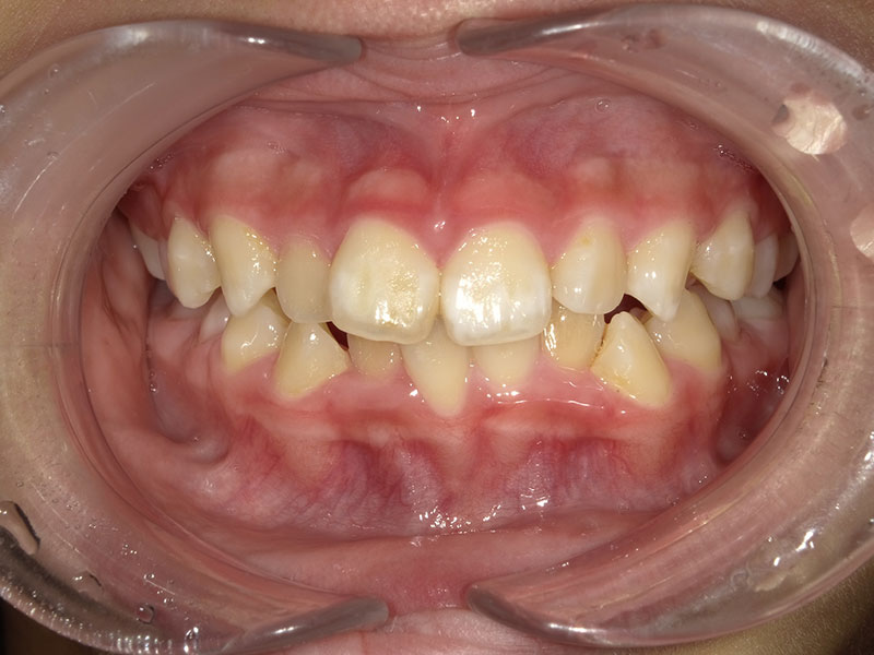
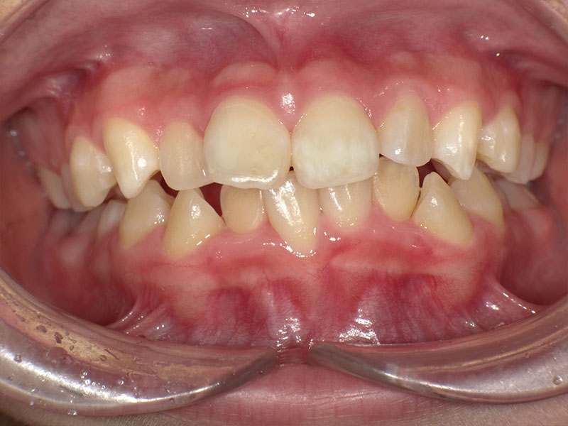
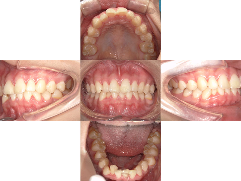
小児矯正

治療前

Before

治療後

After

年齢 10
性別 男児
主訴 下あごが出ている

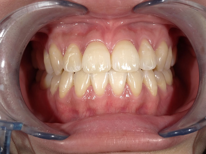
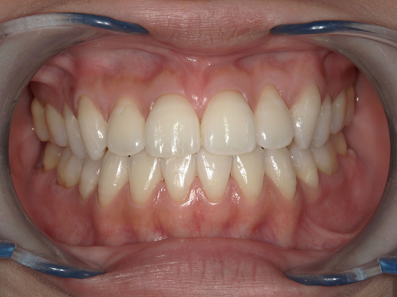
ワイヤー矯正+インプラント症例

治療前

Before

治療後

After

年齢 43歳
性別 女性
主訴 左下の乳歯を抜きたい

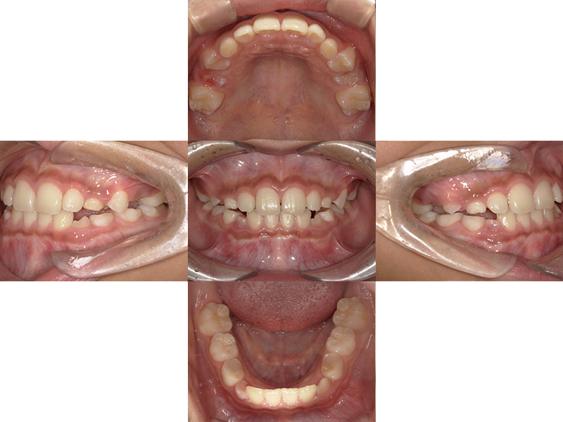
マウスピース矯正

治療前

Before

治療後

After

年齢 19
性別 女性
主訴 歯並びを治したい

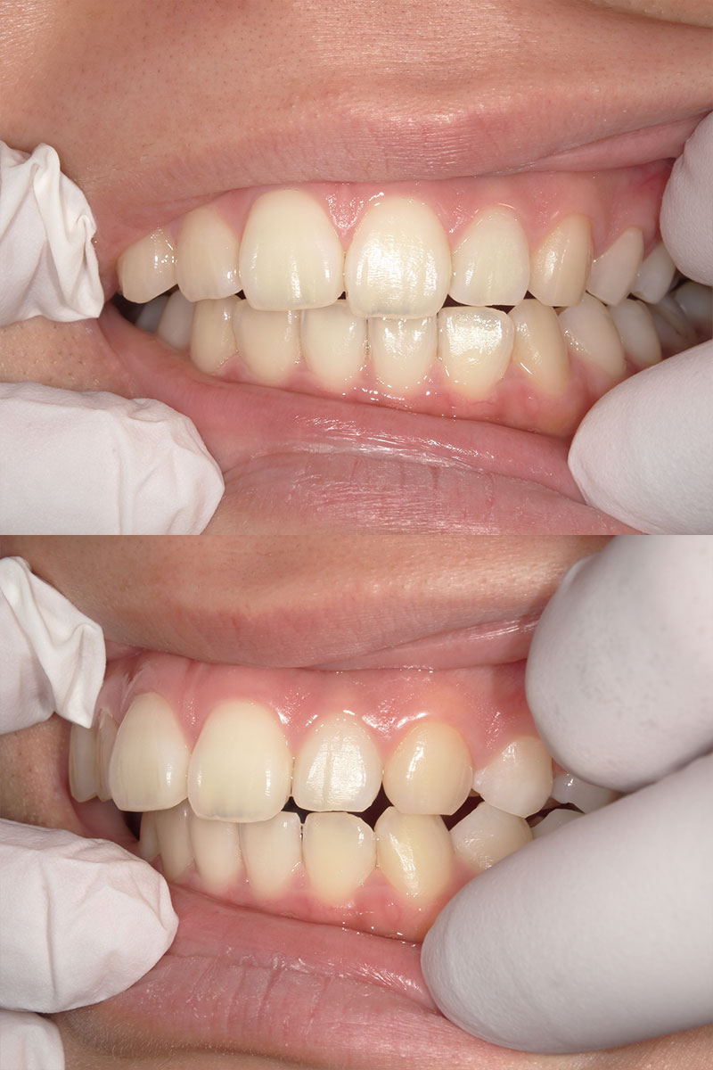
ホワイトニング症例

治療前

Before

治療後

After

年齢 26
性別 女性
主訴 歯を白くしたい

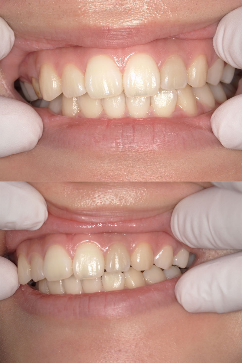
ホワイトスポット治療症例

治療前

Before

治療後

After

年齢 14
性別 女性
主訴 歯が白いのが気になる

サイナスリフト症例

治療前

Before

治療後

After

年齢 72歳
性別 男性
主訴 右上、右下臼歯部にインプラントを入れたい。

ウォーキングブリーチ症例

治療前

Before

治療後

After

年齢 19
性別 女性
主訴 歯の変色が気になる

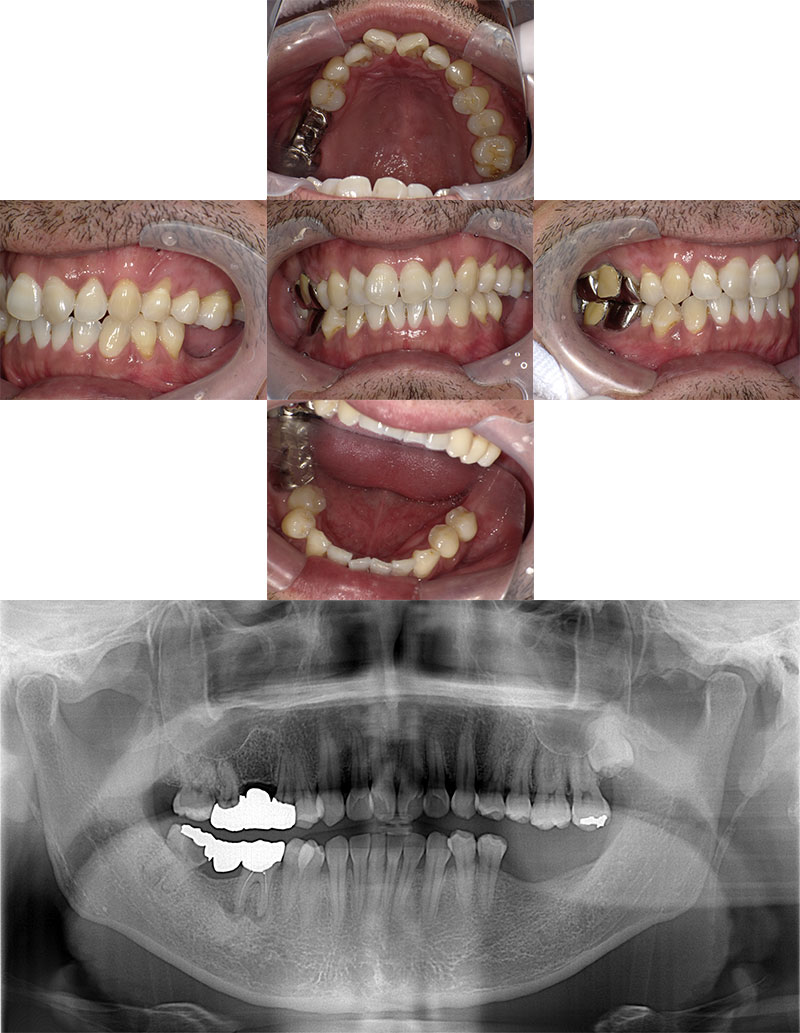
インプラント症例

治療前

Before

治療後

After

年齢 40
性別 女性
主訴 右下の歯茎が腫れを繰り返す

インプラント+矯正+メタルフリー症例

治療前

Before

治療後

After

年齢 38
性別 男性
主訴 全体的に歯を綺麗にしたい
ご予約 ➝ RESERVATION お電話 ➝ TEL
当院のAIスタッフが24時間対応します 当院のAIスタッフが24時間対応します